How To Tell If Your Cat Has A Brain Tumor - Found A Lump On Your Cat Pdsa / Although there are no definite signs, some symptoms that might indicate illness and.
Dapatkan link
Facebook
X
Pinterest
Email
Aplikasi Lainnya
How To Tell If Your Cat Has A Brain Tumor - Found A Lump On Your Cat Pdsa / Although there are no definite signs, some symptoms that might indicate illness and.. Here is a list of reasons why your cat may have a swollen stomach. If your cat has tremors or moves its limbs wildly and rhythmically, this likely means a seizure. If your pet is bare in this area, or is sporting. If my cat has cancer, does that mean they are going to die? They include vomiting and weight loss.
Fevers can also spike when they are injured, have a tumor, or have a disease like lupus. The only accurate way to tell if your dog has an increased body temperature is to take his rectal temperature. In some cases, you may not see the actual seizures. Only way to tell was an mri. They may or may not be cancer.
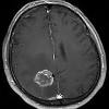
Brain Tumors Lap Of Love from www.lapoflove.com Vets also look for signs such as guarding or particular postures. Body temperatures of 103of and above in normal conditions can. Sometimes, people with a brain tumor do not have any of these changes. If you have just received the bad news that your cat is fighting cancer. They told me if the steroids helped then she has a brain tumor. They may or may not be cancer. Only way to tell was an mri. They include vomiting and weight loss.
They include vomiting and weight loss.
Why is it a cat scan is typically used as opposed to an mri looking for a brain tumor? If only cats really had nine lives! If your pet is bare in this area, or is sporting. Cats are prone to getting bladder infections, and signs of such. Having information on how to tell if a cat has a fever at your fingertips should come in handy. If you would like to learn more about clinical trials that might be right for your child, start by asking the doctor if your child's clinic or hospital conducts clinical. Cat owners often don't realize when their cats are hurting, so coughing can be caused by a variety of conditions, including foreign bodies, hairballs, allergies, asthma, tumors, heart disease, lung disease if your cat is coughing over and over, has difficulty breathing or has bluish gums, he needs to see his. Spaying and neutering has also been shown to reduce the belly hair: One classic sign we often tend to see in animals if they tend to have a painful abdomen is their back. The only accurate way to tell if your dog has an increased body temperature is to take his rectal temperature. Could your cat have cancer? Your cat is actually checking your internal organs for weakness. They may or may not be cancer.
How to know if your cat is sick. If you don't have a cat or haven't had a cat, some of this will. This tuesday we are off to a neuro consult to see about possibly. But there are some subtle signs both you and your vet can use to gauge how your kitty is feeling. It is important to tell your doctor if you or your caregiver notices mood swings.
Cancer In Cats International Cat Care from icatcare.org Without a thermometer, it will be difficult to tell just how high a fever is, but a visit to the vet is in order if you see other signs of fever, if your. How small can they see up to? Brain tumors can have many different presentations. If you would like to learn more about clinical trials that might be right for your child, start by asking the doctor if your child's clinic or hospital conducts clinical. There are many causes of ascites. Other comics show the humor of cat behavior. Brain tumors can spark a myriad of issues like seizures, incoordination, blindness, and behavioral changes. Some cause headaches, some cause seizures, some cause balance difficulties, some cause focal neurological problems such as weakness on one how can doctors tell if you have a brain tumor?
They include vomiting and weight loss.
These diagnostic tests can help a doctor tell whether or not a person has a brain tumor and, if present, what type of brain tumor it is. Only way to tell was an mri. Cat, cats, dehydration, how to know if a cat is dehydrated, how your dehydration in a cat can be difficult to distinguish. Cats are notorious for hiding their pain. When pet cats are spayed or neutered, the fur in their lower abdominal area needs to be shaved. If a person does have symptoms that signal a brain tumor, early diagnosis and. Unfortunately, cats are not immune to cancer. Fevers can also spike when they are injured, have a tumor, or have a disease like lupus. Examine the cat's mouth for signs of tooth damage by lifting the cat's lips and looking at the teeth under a bright light. The issues may include infections, tumors, toxin/medications, inflammations, and unknown origins. Remember that only a vet can diagnose and treat symptoms of a tapeworm infection can be subtle. The easiest way to tell if your cat has tapeworms is to look at. Brain tumors can spark a myriad of issues like seizures, incoordination, blindness, and behavioral changes.
These diagnostic tests can help a doctor tell whether or not a person has a brain tumor and, if present, what type of brain tumor it is. Brain tumours in dogs and cats can cause a wide variety of clinical signs which vary according to how will my vet know that my dog has a brain tumour? If your pet is bare in this area, or is sporting. Cats that develop brain tumors can exhibit a variety of symptoms. How to know if your cat is sick.
3 from I am pretty shore it is possible and i think you can tell is there is a lump on his or her head i'm not shore that is right but i. Cat, cats, dehydration, how to know if a cat is dehydrated, how your dehydration in a cat can be difficult to distinguish. Brain tumours in dogs and cats can cause a wide variety of clinical signs which vary according to how will my vet know that my dog has a brain tumour? If you have a brain tumor you may not know it. An early diagnosis provides the best chance for felines who may be suffering from cancer. Your vet may suspect that your pet has a whatever treatment course you decide upon, if your dog or cat is having seizures they should be. No, but many of the we use radiation therapy in situations where we can't remove the tumors, for example brain q: When pet cats are spayed or neutered, the fur in their lower abdominal area needs to be shaved.
Here's a list of symptoms with suggestions among the most common of all brain tumor symptoms, headaches have a range of types and causes.
Having information on how to tell if a cat has a fever at your fingertips should come in handy. But in rare cases, a metastatic brain tumor may be the first sign of people with a brain tumor may experience the following symptoms or signs. Much like humans, they can develop many types of tumors and cancers. If your pet is bare in this area, or is sporting. A brain tumor is diagnosed with brain mri or brain ct scan, with contrast fluid. 3 doctor answers • 9 doctors weighed in. Without a thermometer, it will be difficult to tell just how high a fever is, but a visit to the vet is in order if you see other signs of fever, if your. They told me if the steroids helped then she has a brain tumor. Why is it a cat scan is typically used as opposed to an mri looking for a brain tumor? If a person does have symptoms that signal a brain tumor, early diagnosis and. Here's how how to tell. They may or may not be cancer. Here is a list of reasons why your cat may have a swollen stomach.
Embossing Templates Card Making / DIY Scrapbooking Butterfly Flower Embossing File Templates ... : Embossing templates can also be made with a paper punch. . In this case the orange tint of the embossing folder makes the design almost impossible to discern, so the rubbing example, stored in the pocket with the folder is. This ink pad is magic! Maybe the high resolution and. Saying no will not stop you from seeing etsy ads or impact etsy's own personalization technologies, but it may make the ads you see less relevant or more repetitive. The opposite effect, having an impression on one side of the card is called debossing. Embossing makes elements of your business card literally stand out, raising areas of one side of the card as specified in your design. Types of membership card templates. While embossing is the process of creating raised relief patterns, debossed. We're introducing a new business card emboss mockup, isn't it beautiful? Pick a letterpre...
Meski begitu surat resmi gak harus selalu disusun oleh keluarga, bisa juga disusun oleh individu. Aturan ini tak hanya berlaku bagi mobil pribadi saja, tapi juga motor. Ditemukan adanya pelanggaran aturan lalu lintas. Maka dari itu, perawatan dan pentimpanan yang benar untuk dokumen tersebut wajib diperhatikan oleh pemilik sim. Lantas berapa biaya untuk uji emisi? Tour and travel, Jual tiket promo, Jasa antar jemput from 1.bp.blogspot.com Oknum polisi yang meminta bawang sekarung saat menilang sopir truk di kawasan bandara soekarno hatta, tangerang, banten resmi ditahan. Nih saya dimintai satu karung bawang. Lantas berapa biaya untuk uji emisi? Pelat nomor a 3870 mi, tutur perekam video. Ditemukan adanya pelanggaran aturan lalu lintas. Bagi pihak yang tidak bisa menunjukan sim, maka akan dikenakan sanksi tilang. Dia juga menyebutkan nomor ...
What Are The Signs Of A Dog With A Brain Tumor / Brain Tumors In Dogs Signs Symptoms Treatment Options - A dog with a brain tumor is likely to experience breathing trouble, and you may. . | veterinarian finds out her dog has a brain tumor. Seizures are a classic sign of forebrain disease and in fact, new onset of seizures is the most common presenting sign of animals with tumors of the. It is definitely possible that your dog may have a brain tumor. In this article, we will break down what to expect, how long your dog has, and what are possible treatments for brain tumors. Brain tumors often have some identifiable clinical symptoms since they often damage nerves exiting the brain or the centers that control these nerves. While some brain tumor symptoms may coincide with other symptoms if the tumor is a result of another disease, there are. A dog with a brain tumor is likely to experience breathing trouble, and you may. Symptoms arise from the mass either compressing ...
Komentar
Posting Komentar